ALTITUDE

補助的治療法・先端技術

a-PDT治療やレーザー治療は、歯ぐきへの負担を抑えながら、
歯周組織の殺菌や炎症の軽減を図る先端的な補助治療です。
歯周病治療や咬合改善と組み合わせることで、より安定した口腔環境を目指します。

a-PDT治療やレーザー治療は、歯ぐきへの負担を抑えながら、歯周組織の殺菌や炎症の軽減を図る先端的な補助治療です。
歯周病治療や咬合改善と組み合わせることで、より安定した口腔環境を目指します。

a-PDT治療

痛くない歯周病治療Periowave(a-PDT治療)について

歯周病の現状

25才以上の約80%の人が歯周病に罹患していると言われています。歯周病は歯茎や歯を支える骨に大きなダメージをあたえるため、進行すると歯が抜け落ちてしまいます。
人の口の中には約500以上の細菌が生息していますが、その中の数種類の菌が歯周病を引き起こし炎症が起こります。
従来、歯周病菌に対する処置方は抗生物質の投与が一般的でしたが、抗生物質は長期の使用により耐性菌が産生されあまり効かなくなってしまいます。

ペリオウェイブの特徴

  • 抗生物質を一切使用しない
  • 耐性菌が発生しない
  • 副作用が起こりにくい
  • 全く痛みを伴わない
  • 何回でも効果のある処置ができる

ペリオウェイブの治療原理

バイオジェルと呼ばれる染色液で歯周病菌を染めます。
このバイオジェルは光感受性物質と言い、特殊な光を吸収すると化学反応が起こり大量の活性酸素を発せさせることができます。この生体に安全な活性酸素は細菌を殺す特徴があります。

ペリオウェイブの治療の流れ

  • Step1

    一般診療と同様に診査・診断・ブラッシング指導・カウセリングなどの一般的な歯周病治療を行います。

  • Step

    歯周ポケットが深く歯周病が治りにくい場合や再発予防のために必要と思われる方にa-PDT治療を説明し、納得いただけた方にペリオウェイブシステム治療を開始します。

  • Step3

    炎症の起こっている歯周ポケットにバイオジェル(光感受性染色液)を十分に注入します。

  • Step4

    バイオジェルを注入することにより歯周ポケット内の歯周病菌は、光を吸収しやすい状態に染め出されます。

  • Step5

    歯周ポケット、一カ所60秒間特殊な光(熱をもたないレーザー)をあてます。

  • Step6

    光を吸収しやすく染め出された歯周病菌の周りに多量の活性酸素が発生し、細菌の細胞膜を物理的に破壊・死滅させます。

  • Step7

    最後にバイオジェルと一緒に死滅した細菌を洗い流します。

  • Step8

    炎症を引き起こしている歯周ポケット内の細菌は死滅し、炎症が消失していきます。

※個人差はありますが、ほとんどの場合1~3回の処置で改善します。

01

02

03

適応症と禁忌症について

適応症

  • 歯肉炎・歯周炎・根管治療・インプラント周囲炎
  • ヘルペス・口内炎・カンジタ症
  • 矯正治療中の歯周病予防
  • インプラントのメインテナンスなど

禁忌症

  • 無カタラーゼ症の方
  • 光感受性発作のある方

※保険適用外のため、自費診療となります。
詳しくはスタッフまでおたずね下さい。

Periowaveを試してみたClient(患者様)の声

  • 歯の固定が外れるといつも気になっていたが、気にならなくなった。
  • 抗生物質を飲まなくても良くなっている。
  • Periowaveをやる前は、奥歯に歯ブラシを当てると痛かったが治った。
  • 不思議な感じがした。
  • 歯ぐきが引き締まった。
  • 唾液がネバネバした感じからサラサラした感じがする。
  • 歯磨き後の歯のツルツル感が、長く続く気がする。
  • 歯ぐきが引き締まったせいか、歯がしみる。
  • 歯ぐきがピンク色になった。
  • いつも歯ぐきが熱っぽく感じたが、すっきりした。
  • 以前は歯間ブラシを通すと違和感があったが治った。
  • 歯肉が引き締まってかみやすくなった。
  • 歯肉が引き締まったせいか、顔の輪郭が「スッキリ」した感じがする。

レーザー治療

今まで治療することが 困難であった疾病がレーザー医療機器の応用により治療可能になりました。
当院では1993年からレーザーによる治療実績を持っています。(保険適用外)

ハードレーザー(熱レーザー光)の治療

ダイオードレーザー

YAGレーザー

CO2レーザー

Argonレーザー

レーザー治療で出来る主な治療

メラニン色素除去

メラニンという色素により、歯グキが黒くなることがあります。
こんな時もレーザーは、この黒ずみをきわめて短時間で除去します。数日後にはもとのきれいなピンク色の歯グキに生まれ変わります。

口内炎の治療

お口の中や、唇にできる口内炎や口角炎の痛みは、レーザーですぐ和らぎ、治りも早くなります。
入れ歯があたってできる潰瘍(かいよう)にも効果があります。

知覚過敏

水を飲んだりハブラシをあてると歯がしみるといった症状はありませんか?その原因として知覚過敏が考えられます。
こんなときレーザーで治療すると歯の表面に薄い膜ができて孔(あな)をふさぎ、歯の神経を保護するので痛みやしみることを防ぐことができます。

歯周病

歯と歯茎の隙間にレーザーを照射すると、細菌を減らしたり、歯石を取りやすくできます。
また、歯肉にレーザーをあてることにより、歯周組織を活性化させることができます。

レーザー治療症例

口内炎(潰瘍)の治療

術前

レーサー治療中

治療後(当日)

口角炎(ヘルペス)の治療

術前

口角炎レーザー治療中

口角炎CO2レーザー照射

術後

必要最小限の虫歯治療(最新機材の組み合わせによる)

歯の内部へのレーザー照射イメージ

01

痛みを訴えてきた部位、見た目ではきちんと治療されているように見える

02

レーザー齲蝕検知器で検査し、一部分の齲蝕を発見

03

齲蝕を発見した部位のみエアーブレージョンにて削除

04

レーザーにて、歯の内部殺菌

05

空けた穴の封鎖

06

Argonレーサーにて、充填物の効果

07

術後

コールドレーザー(熱のないレーザー光)治療例

ヒーリングレーザーやレーザーセラピーとも呼ばれています。大出力レーザー光(40,000mW)なのに熱を持たない光で傷や関節などの『痛みをやわらげ(取り除き)、治癒力を高めることができる不思議なレーザー』です。
疼痛緩和・治療促進・知覚過敏・顎関節症・矯正時の疼痛・インプラント埋入後の治癒促進・ホワイトニング後の疼痛緩和ドライソケット(抜歯後の難地疼痛)・Biostimulation(細菌の浄化)などの症例に使用されます。

Lumixレーザー光エネルギーは弱った細胞内に光子エネルギー刺激を与え、細胞を正常な状態に戻し、細胞の機能を回復していきます。

また、細胞内のミトコンドリアはレーザーの光を吸収(ミトコンドリアの光子吸収)しATP(タンパク質)を持続供給します。
このことが、細胞の治癒力を高めている理由のひとつです。

※ミトコンドリアは、
細胞のさまざまな活動に必要なエネルギー(ATP)を生み出し供給するところで、生きる上でとても重要なところです。
ATPは細胞のさまざまな活動に必要なエネルギーです。

Periowave

新しい歯周病治療『 光殺菌システム』です。
重篤な歯周病や抗生物質製剤を使用しても治りづらい難治性歯周病治療に使用します。

今までは、歯肉の炎症を止めるため歯周ポケット内に抗生物質製剤や抗炎症剤が良く使われていました。
これらの抗菌剤は、耐性菌が生まれてしまったり、アレルギーを引き起こす危険性があり、抗生剤の副作用が懸念されていました。VCC (カナダのバンクーバー大学-Vancouver Community College)では、10年にも及ぶ研究から抗生剤による副作用の無い、『光殺菌システム』が開発されました。現在、カナダやヨーロッパ各地で使われ始めています。

光殺菌システムによる歯周病治療の流れ

  1. 歯周ポケット内に、光感受性溶液を注入します。
  2. この液体は歯周に有害な細菌を、特異的に染色浸透します。
  3. 非熱ダイオードレーザー光を、歯周ポケット内に60秒間照射します。
  4. レーザーの光を吸収しやすく染め出された有害な細菌は、レーザーの光で活性酸素を放出する光感受性溶液で、歯周ポケット内の有害な細菌を殺傷・洗浄してゆきます。
  5. 最後に不活性化した有害な細菌を、光感受性溶液ごと歯周ポケット内からオゾン水で洗い流します。
    これにより、レーザー光で活性化された歯周組織は、有害な細菌の影響をうけず改善してゆきます。

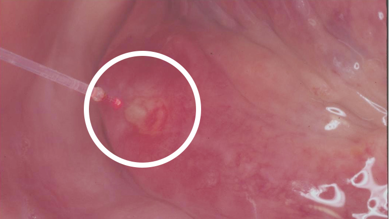
ペリオウェイブ施術中の写真

ペリオウェイブの熱のない赤いレーザーの光ノズルは透明なプラスチック製

ペリオウェイブの熱のないレーザーを、一ヶ所60秒間照射しているところ

当院主用レーザー

院内感染予防

高濃度オゾン水生成器

バイオテック社製高濃度オゾン水生成器「EOS7131-CDE」を導入しました。

以前よりオゾン水(0.1ppm)を利用し消毒、殺菌に心がけてきましたが、より消毒効果が強い高濃度オゾン水(4ppm)生成器を新たに導入しました。
大気中のウイルス、細菌、カビの発生抑制にも役立ちます。

マイクロスコープ精密診療を支える
DENT-VISIONアシスタント体制

当院では、より高度な診療を安全・効率的に実施するため、 DENT‑VISION(デントビジョン)のアシスト体制を採用。マイクロスコープを用いた根管治療・精密補綴治療において、歯科医師だけでなく、チームとしての診療体制を整え、質の高い治療を実現しています。

なぜアシスタント体制が重要か

「マイクロスコープを導入すればOK」というわけではなく、視野確保・器具準備・材料交換・ミラーハンドリングなどアシスタントの支援があることで、治療時間の短縮・精度向上・安全性アップを図れます。
当院では、DENT-VISIONプログラムを通じて、アシスタントが術者の動き・次工程を先読みして動ける体制を整えています。

DENT-VISIONプログラムの3本柱

術野展開 & 視野維持

マイクロスコープ使用時に、術者が’常に明確な視野を得られるよう、ミラー・バキューム操作等のアシスト技術を習得。

予測と準備による効率化

次に使う器具・材料を予め準備し、術者の動きを遮らないスムーズな流れを実現。

戦略的連携・アクティブアシスト

術者の意図を理解し、指示待ちではなく自ら判断・動けるチーム体制を構築。

患者様へのメリット

治療時間・回数の削減

術者・アシスタントの役割分担により、ムダが少ない治療。

治療精度の向上

クリアな視野・安定した器具操作により、再治療リスク低減。

安心・安全な診療体制

アシスタントがタイムリーに術者を支えることで、緊急時の対応も迅速に。

ネット予約(初診のみ)

24時間受付可能なネット予約は、初診の患者様専用仮予約となります。改めて当院よりお電話させていただきます。

電話で予約・お問い合わせ

TEL.022-265-4141

9:00-13:00 / 14:00-18:00
休診日: 木曜・日曜・祝日